当前位置:首页>病理及染色试剂>普鲁士蓝染色试剂盒(伊红法)
产品名称:普鲁士蓝染色试剂盒(伊红法)
英文名称:Prussian Blue Iron Stain Kit (With Eosin)
产品货号:DW2197
产品包装:2*50ml
产品价格:150
说明书下载
产品介绍:
普鲁士蓝铁染色法(Perl's Iron Stain)是检测细胞和组织中非血红素铁的常用组织化学方法之一,通过形成蓝色的普鲁士蓝沉淀检测骨髓及肝、脾、肾等组织细胞中的铁蛋白和含铁血黄素沉积。
原理:
亚铁氰化钾溶液使三价铁离子从蛋白质中被稀盐酸分离出来,三价铁与亚铁氰化钾反应,生成一种不溶解的蓝色化合物即三价铁的亚铁氰化物普鲁士蓝。用于显示含铁血黄素。
适用范围:
用于显示局部组织内各种出血性病变,判断含铁血黄素沉积。
样本处理:
石蜡切片:需脱蜡至水。
(1)脱蜡:二甲苯1、11分别脱蜡5~10分钟
(2)脱水:无水乙醇、95%乙醇、85%乙醇、75%乙醇脱水3蒸馏水洗3次,每次3分钟。
冷冻切片:
(1)多聚甲醛10分钟
(2)蒸馏水洗3次,每次3分钟
染色步骤:
1.切片脱蜡至水,蒸馏水洗
2.染色前将Perls A和Perls B液1:1混合。
3.入Perls 染液中染色10-20分钟。蒸馏水洗。
4.伊红染色液复染细胞。蒸馏水洗。
5.梯度酒精脱水,二甲苯透明,中性树胶封片。
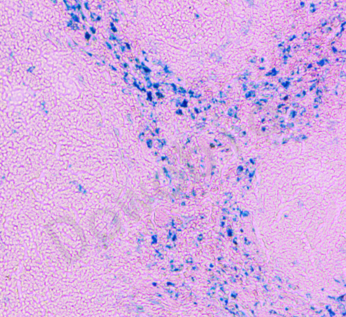
染色结果:
含铁血黄素呈蓝色,其他组织呈复染颜色。
适用范围:
用于显示局部组织内各种出血性病变,判断含铁血黄素沉积。
注意事项:
1.本产品仅限于专业人员的科学研究用,不得用于临床诊断或治疗,不得用于食品或药品,不得存放于普通住宅内。
2.为了您的安全和健康,请穿实验服并戴一次性手套操作。
本产品在文章中的写法:
英文: Dowobio (Shanghai ,China)
中文: 上海多沃生物科技有限公司 Dowobio,上海
